Почетна
Стручни совети
Интервјуа
Здравје
Исхрана
Занимливости
Настани
Подкаст
Барај
Panacea.mk
Почетна
Стручни совети
Интервјуа
Здравје
Исхрана
Занимливости
Настани
Подкаст
дома
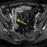
Дијагностика и третман на компликациите на Кроновата болест (3)
ЕУС
ЕУС
НАЈНОВИ ВЕСТИ
НАУЧНИЦИТЕ ОТКРИЈА КОГА СТАРЕЕЊЕТО НАГЛО СЕ ЗАБРЗУВА – ПОСТОЈАТ ДВЕ КЛУЧНИ...
25 мај, 2026
ШТО Е ЕБОЛА И ЗОШТО СЗО ПРЕДУПРЕДУВА НА ГЛОБАЛНА ЗАКАНА ПО...
24 мај, 2026
НА КОЈА РАКА СЕ МЕРИ КРВНИОТ ПРИТИСОК?
23 мај, 2026
НАУКАТА ВЕЛИ ДЕКА МОЖЕТЕ ДА ЈА ПОПРАВИТЕ ГОЛЕМАТА ШТЕТА ШТО АЛКОХОЛОТ...
22 мај, 2026
НОВО ИСТРАЖУВАЊЕ ОТКРИВА: ЦРНИОТ ЧАЈ ГО ШТИТИ СРЦЕТО И ГО НАМАЛУВА...
22 мај, 2026
ЕМОЦИИ И ТЕЛЕСНА ТЕЖИНА: КАКО ЕМОЦИИТЕ ГО ОТЕЖНУВААТ ГУБЕЊЕТО НА ТЕЖИНАТА
21 мај, 2026
ГЕНЕТСКИ КОД: КОИ ОСОБИНИ И ТЕНДЕНЦИИ СЕ ОДРЕДЕНИ ОД ГЕНИТЕ НА...
20 мај, 2026
ХРАНА ШТО ГО ПОТТИКНУВА РАСТОТ НА КОСАТА И ТАА СТАНУВА ПОСИЛНА
19 мај, 2026
АКО ИМАТЕ НАД 50 ГОДИНИ, ЕВЕ КОЛКУ ПРОТЕИНИ ВИ СЕ НАВИСТИНА...
19 мај, 2026
ШТО ПРЕДИЗВИКУВА ТЕМНИ, КРАТКИ ВЛАКНА НА БРАДАТА И КОГА ТРЕБА ДА...
18 мај, 2026
ГЕНЕТСКИ КОД: КОИ ОСОБИНИ И ТЕНДЕНЦИИ СЕ ОДРЕДЕНИ ОД ГЕНИТЕ НА...
18 мај, 2026
ЧАША ПОЛНА СО МИСТЕРИИ: ДАЛИ Е БЕЗБЕДНО ДА СЕ ПИЕ ВЧЕРАШНАТА...
17 мај, 2026
СКРИЕНИ ШЕЌЕРИ: ХРАНА ШТО СОДРЖИ ПОВЕЌЕ ОД НИВ ОТКОЛКУ ШТО МИСЛИТЕ
16 мај, 2026
НУТРИЦИОНИСТИ: АКО САКАТЕ ПОЗДРАВИ ЦРЕВА, ВКЛУЧЕТЕ ЧЕТИРИ НАМИРНИЦИ ВО ВАШАТА ИСХРАНА
15 мај, 2026
БРОКУЛА ИЛИ КАРФИОЛ – КОЈ ИМА ПОВЕЌЕ ХРАНЛИВИ МАТЕРИИ, А ПОМАЛКУ...
14 мај, 2026
error:
Содржината е заштитена!